Smile Gallery
Below are examples of Dr. Kim's exceptional work in cosmetic dentistry, professional whitening, dental implants, and full mouth reconstruction.
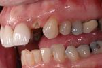
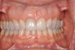
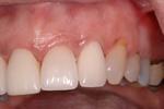
Young male patient presented to our office due to a missing lateral. The patient told us that he was very self-conscious of his missing teeth. Also he wanted his teeth to be whiter/brighter than what is now. Since the patient had no restorations on any other teeth, an implant was recommended with Zoom II Bleaching afterwards. The patient said that his confidence was so much better with the new smile.
Dr. Kim and his staff are friendly, knowledgeable and professional. They keep abreast of the latest technology. He works with you on maintaining your dental health. Dr. Kim educates you about the various steps needed for any procedures and explains why they are necessary. Scheduling is flexible and they have always available when an emergency arises. They work with various insurance plans and their prices are very reasonable for anything not covered by insurance. My families visits for the last 10+ years have always been positive. Mary O'Neill